Ujawnił prawdę o sztucznej inteligencji i zginął. Tajemnicza śmierć 26-latka

2025-04-08 14:10

Geniusz komputerowy z USA odszedł z pracy w korporacji rozwijającej sztuczną inteligencję i udzielił obszernego wywiadu, w którym oskarżył twórcow AI o łamanie prawa i niebezpieczne praktyki. Po trzech miesiącach Suchir Balaji (+26 l.) został znaleziony martwy w mieszkaniu w San Francisco. Oficjalnie stwierdzono, że zastrzelił się sam, ale jego rodzice zaczęli drążyć temat i przy pomocy ekspertów medycyny doszli do szokujących wniosków.

Szokujące nowe ekspertyzy po tajemniczej śmierci Suchira Balaji. Ujawnił niewygodne fakty związane z AI, zginął zagadkową śmiercią

Tajemnicza śmierć byłego pracownika korporacji zajmującej się sztuczną inteligencją! Suchir Balaji (+26 l.) z USA od najmłodszych lat wykazywał wybitne zdolności informatyczne. W młodym wieku dostawał propozycje bardzo dobrze płatnych zajęć. Związał się z OpenAI i rozwijał ChatGPT. Już w 2022 roku stwierdził, że wiele spraw związanych z rozwojem sztucznej inteligencji zaczyna go niepokoić. Ostatecznie w sierpniu zeszłego roku zdecydował się po odejściu z pracy udzielić wywiadu dla "New York Timesa". Ujawnił wtedy, że jego zdaniem AI narusza wiele amerykańskich praw autorskich oraz przepisów dotyczących danych drażliwych, podkreślił też brak przejrzystości w zakresie źródeł, z których pochodzą odpowiedzi udzielane użytkownikom przez AI, czerpiącego wiedzę także z miejsc, gdzie mogły znaleźć się informacje stronnicze czy zbyt poufne oraz takie, na rozpowszechnianie których w konkretnej formie ktoś mógł nie wyrazić zgody.

Sprawę oficjalnie uznano za odebranie sobie życia. Ale rodzice mężczyzny drążyli temat

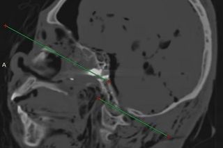
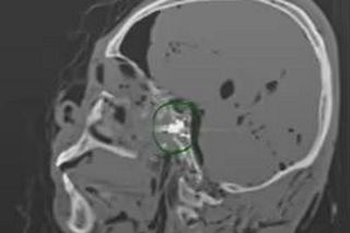
Po trzech miesiącach, w listopadzie 2024 roku Suchir Balaji został znaleziony martwy w swoim mieszkaniu w San Francisco w dzielnicy Mint Hill. Miał poważną ranę głowy, obok niego leżał pistolet, który legalnie nabył w styczniu 2024 roku. Sprawę oficjalnie uznano za oczywiste odebranie sobie życia. Ale rodzice mężczyzny, Poornima Ramarao i Balaji Ramamurthy nie uwierzyli w to. Byli pewni, że sprawa jest podejrzana, bo syn nie wykazywał żadnych skłonności depresyjnych i miał plany na przyszłość, umawiał się m.in. na rozmowy kwalifikacyjne i dostawał bardzo intratne propozycje. Jak pisze "Daily Mail", zlecili niezależne ekspertyzy dwóm lekarzom radiologom. Medycy nie wiedzieli, czyje prześwietlenie czaszki oglądają. Orzekli, że pacjenta trafiły dwie kule, a na jego ciele znaleźli obrażenia, o których oficjalna autopsja milczy.

Matka i ojciec Suchira Balaji uważają, że "to była napaść". GHB w organizmie 26-latka

"Druga kula prawdopodobnie weszła przez usta, nie widać wyraźnej rany wlotowej, ale utkwiła w tylnej części gardła u podstawy czaszki/stożka" - napisał w raporcie dr Daniel Cousin z Radsurity w Weston na Florydzie. Jak podkreśla matka 26-latka, ekspertyza ujawniła obrażenia języka, które nie mogły powstać przy strzale w czoło. Do tego Balaji miał złamaną kość policzkową i uraz z boku głowy oraz ranę na kolanie. Zastrzelił się dwa razy i jeszcze pobił? To nie wszystko. Rodzice komputerowca zlecili też badania toksykologiczne, które ujawniły, że w chwili śmierci w organizmie 26-latka były alkohol i ślady tak zwanej pigułki gwałtu. Matka i ojciec Suchira Balaji nie mają wątpliwości - "to była napaść". Zapowiadają ujawnienie większej ilości materiałów.

Super Express Google News
Sonda
Czy uważasz, ze sztuczna inteligencja zagraża ludzkości?
QUIZ na prima aprilis! Prawda czy żart? Zobacz, czy zgadniesz!
Pytanie 1 z 10
Albert Einstein miał brata bliźniaka, który ożenił się z Polką
Sztuczna Inteligencja a prawo?

Player otwiera się w nowej karcie przeglądarki